Accueil > Les évènements de l’AFU > Congrès français d'Urologie > 105ème Congrès Français d’Urologie – 2011 > Prise en charge des petites tumeurs rénales en 2011
Prise en charge des petites tumeurs rénales en 2011
Responsable du Comité : Michel SOULIÉ (Toulouse)
Responsable du sous-comité Rein : Jean-Jacques PATARD (Le Kremlin-Bicêtre)
Programme :
- Définition des petites tumeurs rénales, les recommandations 2010
Jean-Jacques PATARD (Le Kremlin-Bicêtre)
- L’imagerie peut-elle prédire l’histologie ?
Nicolas GRENIER (Bordeaux)
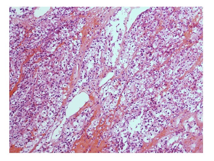
- Peut-on croire en l’histologie ?
Nathalie RIOUX LECLERCQ (Rennes)
- Mini-débat : a-t-on le droit de ne pas faire de biopsies en 2011 ?
Hervé BAUMERT (Paris) vs Hervé LANG (Strasbourg)
- Mini-débat : cas d’un patient âgé, surveillance vs traitement ablatif
Jean-Alexandre LONG (Grenoble) vs Jean-François HETET (Nantes)
- Mini-débat : cas d’un patient jeune avec tumeur hilaire
Philippe PAPAREL (Pierre-Bénite) vs Laura POISSONNIER (Lyon)
- Nos échecs
Nathalie RIOUX LECLERCQ (Rennes), Nicolas GRENIER (Bordeaux), Hervé BAUMERT (Paris)
- Conclusion
Jean-Jacques PATARD (Le Kremlin-Bicêtre)
Objectifs pédagogiques :
- Connaître la place actuelle des biopsies et de l’imagerie dans la prise en charge des petites tumeurs rénales.
- Connaître les différentes options de prise en charge des petites tumeurs rénales et les critères décisionnels.
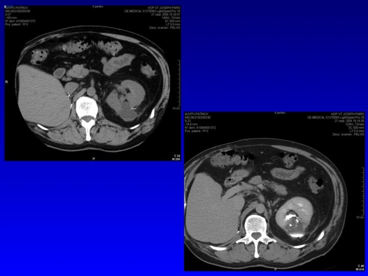
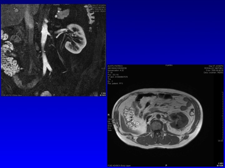
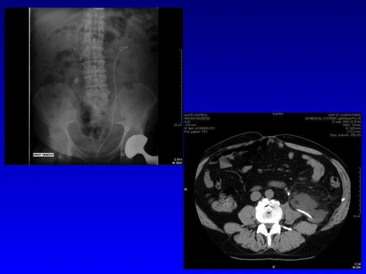
Prise en charge des petites tumeurs rénales en 2011 : diaporama 1
Prise en charge des petites tumeurs rénales en 2011 : diaporama 2
Prise en charge des petites tumeurs rénales en 2011 : diaporama 3
Prise en charge des petites tumeurs rénales en 2011 : diaporama 4
Prise en charge des petites tumeurs rénales en 2011 : diaporama 5
Prise en charge des petites tumeurs rénales en 2011 : diaporama 6
Prise en charge des petites tumeurs rénales en 2011 : diaporama 7
Prise en charge des petites tumeurs rénales en 2011 : diaporama 8
Prise en charge des petites tumeurs rénales en 2011 : diaporama 9
Prise en charge des petites tumeurs rénales en 2011 : diaporama 10
Dates à retenir
Prev
11 et 12 juin 2026
Du vendredi 4 au samedi 5 septembre 2026
24 et 25 septembre 2026
du 18 au 21 novembre 2026
Next
11 et 12 juin 2026
Journées d’Onco-Urologie Médicale 2026
Du vendredi 4 au samedi 5 septembre 2026
Journée d’andrologie et de médecine sexuelle 2026
24 et 25 septembre 2026
Journées d’infectiologie de l’afu 2026
du 18 au 21 novembre 2026