Le syndrome de Birt-Hogg-Dubé (BHD) est une génodermatose autosomique dominante décrite en 1977 [11Birt A.R., Hogg G.R., Dubé W.J. Hereditary multiple fibrofolliculomas with trichodiscomas and acrochordons Arch Dermatol 1977 ; 113 : 1674-1677 [cross-ref]
Cliquez ici pour aller à la section Références]. Cette pathologie se caractérise par l’apparition précoce de tumeurs rénales multiples, à type d’oncocytome rénal et de carcinome rénal à cellules chromophobes [22Pavlovitch C.P., Walther M.M., Eyler R.A., et al. Renal tumors in the Birt-Hogg-Dube syndrome Am J Surg Pathol 2002 ; 26 : 1542-1552
Cliquez ici pour aller à la section Références]. Chez les patients ayant un syndrome de BHD, certaines tumeurs ont été décrites comme « hybrides », partageant des caractéristiques architecturales et cytologiques de l’oncocytome et du chromophobe [22Pavlovitch C.P., Walther M.M., Eyler R.A., et al. Renal tumors in the Birt-Hogg-Dube syndrome Am J Surg Pathol 2002 ; 26 : 1542-1552
Cliquez ici pour aller à la section Références].
Nous décrivons ici le cas de two patients ayant plusieurs tumeurs dont le diagnostic histologique a été celui d’oncocytome ou de tumeur hybride, incorporée pour l’une d’entre elle à un angiomyolipome.
Un homme de 77 ans se plaignait de troubles de la marche. L’examen clinique mettait en évidence un déficit moteur du membre inférieur gauche. Une IRM du rachis cervico-dorsal et lombaire a été réalisée, mettant en évidence une lésion tissulaire intracanalaire de la face postérieure de la moelle en regard de T6. Le patient a eu une hémi-laminectomie et une costo-transversectomie T6 gauche, mettant en évidence une tumeur extradurale hypervascularisée, dont l’exérèse a été complète. Il s’agissait à l’analyse histologique d’un cavernome.
Une TDM abdomino-pelvienne, réalisée dans le cadre du bilan d’extension de cette lésion, a révélé la présence de deux tumeurs médiorénales gauches de 11 et 8mm de grand axe, une tumeur polaire inférieure gauche de 24mm, et une tumeur médiorénale droite de 15mm. Ces tumeurs étaient en partie exophytiques, avaient une densité tissulaire homogène, et se rehaussaient après injection de produit de contraste. La TDM thoracique était normale.
Les trois tumeurs rénales gauches objectivées en TDM ont été retirées par tumorectomie. Il s’agissait à l’examen macroscopique de tumeurs charnues brunâtres évoquant des oncocytomes. Histologiquement, les tumeurs étaient formées de nappes et de travées de grandes cellules à cytoplasme éosinophile ou claire à noyau parfois rond et nucléolé et parfois irrégulier et incisuré (Figure 1). La coloration de Hale au fer colloïdal montrait une coloration bleutée le plus souvent membranaire apicale mais parfois cytoplasmique avec un renforcement apical (Figure 2). Ces caractéristiques nucléo-cytoplasmiques étaient donc celles de cellules chromophobes et oncocytaires, suggérant le diagnostic de TH. Leur caractère multiple a fait envisager l’hypothèse d’un syndrome de BHD. Néanmoins, l’étude génétique n’a pas été effectuée car ce patient n’avait pas de famille proche. L’exérèse chirurgicale de la tumeur rénale droite sera réalisée prochainement.
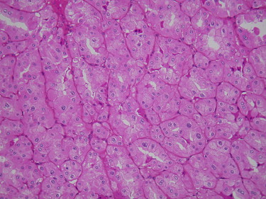
Figure 1.
Coupe histologique en coloration standard (hématoxyline-éosine). Tumeur hybride oncocytome/chromophobe : les cellules oncocytaires ont un noyau arrondi et les cellules chromophobes ont un noyau incisuré.
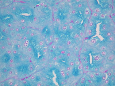
Figure 2.
Coupe histologique après coloration de Hale au fer colloïdal. Tumeur hybride oncocytome/chromophobe : le cytoplasme est coloré en bleu de manière diffuse (cellules chromophobes) ou avec un net renforcement apical (cellules oncocytaires).
Un homme de 68 ans, sans antécédent particulier, a réalisé une échographie abdominale de manière systématique. Celle-ci a mis en évidence un rein unique sigmoïde droit, ainsi que plusieurs tumeurs échogènes rénales. L’examen clinique était sans particularité. Une uro-TDM a été réalisée, confirmant l’anomalie morphologique rénale, et mettant en évidence un angiomyolipome de la convexité inférieure de 1cm, un nodule de densité tissulaire de 1,5cm et un kyste atypique Bosniak III de 2,2cm, tous deux polaires supérieurs. La TDM thoracique était normale. Une lombotomie droite a été réalisée, permettant l’exérèse de ces trois lésions.
À l’examen anatomopathologique, la première tumeur d’aspect macrocopique adipeux correspondait est un angiomyolipome traversé de faisceaux musculaires et de vaisseaux dystrophiques, englobant plusieurs îlots de cellules d’allure oncocytaire ou chromophobe (Figure 3). Les deux autres tumeurs avaient un aspect rose charnu évocateur d’oncocytome. En histologie elles étaient formées de cellules ayant les même caractéristiques que celles des trois tumeurs rénales décrites dans le cas clinique no 1 avec une coloration cytoplasmique bleutée plus ou moins diffuse avec la coloration de Hale au fer colloïdal. Une étude sanguine moléculaire du gène BHD est en cours.
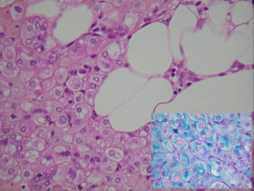
Figure 3.
Coupe histologique en coloration standard et après coloration de Hale. Tumeur hybride oncocytome/chromophobe incluse dans un angiomyolipome.
Une TH du rein peut être observée de façon sporadique, et son incidence représente environ 10 à 20 % de l’ensemble des cas d’oncocytome et de carcinome chromophobe confondus [33Delongchamps N.B., Galmiche L., Eiss D., et al. Hybrid tumors “oncocytoma-chromophobe renal cell carcinoma” of the kidney: a report of 7 sporadic cases BJU Int 2009 ; 103 : 1381-1384 [cross-ref]
Cliquez ici pour aller à la section Références, 44Waldert M., Klatte T., Haitel A., et al. Hybrid renal cell carcinomas containing histopathologic features of chromophobe renal cell carcinomas and oncocytomas have excellent oncologic outcomes Eur Urol. 2009 ; [Epub ahead of print].
Cliquez ici pour aller à la section Références]. Néanmoins, la coexistence de tumeurs rénales multiples à type d’oncocytome, de carcinome chromophobe et de TH, doit faire évoquer un syndrome de BHD. Les TH ont en effet été observées initialement chez ces patients. La plus grande série décrite de syndrome de BHD comportait 30 patients [22Pavlovitch C.P., Walther M.M., Eyler R.A., et al. Renal tumors in the Birt-Hogg-Dube syndrome Am J Surg Pathol 2002 ; 26 : 1542-1552
Cliquez ici pour aller à la section Références]. Une TH a été diagnostiquée chez la moitié d’entre eux, isolée ou associée à d’autres tumeurs de type histologique différent (oncocytome, carcinome chromophobe, carcinome à cellules claires). À notre connaissance, la présence de TH au sein d’angiomyolipomes n’a pas été rapportée dans la littérature. Les anomalies extrarénales décrites dans le syndrome de BHD sont les fibrofolliculomes cutanés et les pneumothorax spontanés. Dans nos deux observations cliniques, les patients n’avaient aucune de ces deux anomalies, ni aucun antécédent familial de tumeur du rein. En revanche, un des patients avait un cavernome en T6, et l’autre avait un rein unique sigmoïde droit, ce qui n’a pas à notre connaissance été décrit dans le BHD. Les altérations génétiques du syndrome de BHD ont été ciblées sur le locus 17p12q11.2, et le gène de cette région a été cloné [55Cossu-Rocca P., Eble J.N., Zhang S., et al. Interphase cytogenetic analysis with centromeric probes for chromosomes 1, 2, 6, 10, and 17 in 11 tumors from a patient with bilateral renal oncocytosis Mod Pathol 2008 ; 21 : 498-504 [cross-ref]
Cliquez ici pour aller à la section Références]. Ce gène, codant pour une folliculine, pourrait jouer le rôle d’un anti-oncogène [55Cossu-Rocca P., Eble J.N., Zhang S., et al. Interphase cytogenetic analysis with centromeric probes for chromosomes 1, 2, 6, 10, and 17 in 11 tumors from a patient with bilateral renal oncocytosis Mod Pathol 2008 ; 21 : 498-504 [cross-ref]
Cliquez ici pour aller à la section Références].
En microscopie optique, les TH sont composées de cellules d’allure oncocytaire, d’allure chromophobe ou d’allure hybride. Ces cellules hybrides peuvent avoir un aspect cytoplasmique de cellule chromophobe et un noyeau de cellule oncocytaire, ou l’inverse. Le stroma des TH peut avoir l’architecture compacte ou alvéolaire d’un carcinome chromophobe ou celle endocinoïde d’un oncocytome [22Pavlovitch C.P., Walther M.M., Eyler R.A., et al. Renal tumors in the Birt-Hogg-Dube syndrome Am J Surg Pathol 2002 ; 26 : 1542-1552
Cliquez ici pour aller à la section Références, 33Delongchamps N.B., Galmiche L., Eiss D., et al. Hybrid tumors “oncocytoma-chromophobe renal cell carcinoma” of the kidney: a report of 7 sporadic cases BJU Int 2009 ; 103 : 1381-1384 [cross-ref]
Cliquez ici pour aller à la section Références, 44Waldert M., Klatte T., Haitel A., et al. Hybrid renal cell carcinomas containing histopathologic features of chromophobe renal cell carcinomas and oncocytomas have excellent oncologic outcomes Eur Urol. 2009 ; [Epub ahead of print].
Cliquez ici pour aller à la section Références].
Les caractéristiques radiologiques des TH ne semblent pas être spécifiques d’un type tumoral particulier [66Eiss D., Larousserie F., Mejean A., et al. Renal oncocytoma: CT diagnostic criteria revisited J Radiol 2005 ; 86 : 1773-1782 [inter-ref]
Cliquez ici pour aller à la section Références]. Lorsqu’une tumeur mesure plus de 3cm de grand axe, l’observation d’une hypodensité centrale ou excentrée en phase tardive est évocatrice d’un oncocytome avec une spécificité de 96 % lorsque le reste du parenchyme a un aspect homogène, sans calcification ni zone de nécrose [66Eiss D., Larousserie F., Mejean A., et al. Renal oncocytoma: CT diagnostic criteria revisited J Radiol 2005 ; 86 : 1773-1782 [inter-ref]
Cliquez ici pour aller à la section Références, 77Cornu J.N., Rouprêt M., Lang H., et al. Kidney cancer management in 2007: news and recommendations Prog Urol 2008 ; 18 : S81-S87 [inter-ref]
Cliquez ici pour aller à la section Références]. Dans cette observation, les tumeurs étaient trop petites pour pouvoir poser un diagnostic radiologique préopératoire fiable.
Même si les TH semblent former un continuum morphologique entre l’oncocytome et le carcinome chromophobe, ces spéculations ne reposent que sur des constatations morphologiques, et non génétiques [55Cossu-Rocca P., Eble J.N., Zhang S., et al. Interphase cytogenetic analysis with centromeric probes for chromosomes 1, 2, 6, 10, and 17 in 11 tumors from a patient with bilateral renal oncocytosis Mod Pathol 2008 ; 21 : 498-504 [cross-ref]
Cliquez ici pour aller à la section Références]. En considérant que la progression tumorale dépend du contingent le plus agressif, le pronostic des TH devrait rejoindre celui du carcinome chromophobe. Or, la survie sans récidive à 3 ans en cas de TH est de 100 % [44Waldert M., Klatte T., Haitel A., et al. Hybrid renal cell carcinomas containing histopathologic features of chromophobe renal cell carcinomas and oncocytomas have excellent oncologic outcomes Eur Urol. 2009 ; [Epub ahead of print].
Cliquez ici pour aller à la section Références]. Il paraît cependant prudent en l’état actuel des connaissances de considérer et surveiller les TH comme des carcinomes chromophobes.
Les auteurs ne déclarent pas de conflit d’intérêt.